Ann Caviness - LBHR 7/3/07, Dr. Koen DeSmet
Hip Resurfacing: Personal Experience
Ann’s LBHR surgery with Dr. Koen DeSmet, July 3, 2007
October 21, 2008
Diagnosed and Treated for Dysplasia as a Toddler
In 1968, when I was two years old, I was diagnosed as having dysplasia of the left hip (also known as congenital hip dislocation). The joint had not developed properly and the femur was dislocated. I walked with a limp. My parents took me to a leading orthopedic surgeon at the University of Chicago Medical Hospitals. The doctor originally planned to put me in traction for about a week, after which he would perform open surgery to place the femur in an abducted position, and then cast it in plaster. He expected I would be in a series of body casts for two years, changed every six months.
However, after I was admitted into the hospital, he found that traction and surgery weren’t necessary to position the femur. After putting me under, he was manually able to manipulate the leg into place, and then casted it. There was a team of European doctors observing his work at the time, and they were surprised that he would even attempt manual manipulation given that I was being treated at such a late age; yet he did, and was successful.
Being a very active toddler, on several occasions I damaged the cast and had to be taken to the doctor to patch it up. On one such occasion just short of six months, the doctor decided that he might as well go ahead and give me a new cast. After admitting me to the hospital to have the body cast replaced, he found to his astonishment that a cast was no longer needed. The hip socket had formed itself far faster than he believed possible. I was sent home with the instructions that I should have regular follow up x-rays in my childhood years to monitor the hip’s development. It was just the left hip; the right hip was perfectly normal.
So, I proceeded through life as a basically normal kid, doing all sorts of sports, including: cross-country running, soccer, baseball, softball, volleyball, and many other activities, without restriction. However, in junior high school, I developed chronic back pain. Also, at some point, I noticed that my hips were always cold. Other than that, there weren’t any visible or functional problems connected with the dysplasia.
Symptoms Developed as an Adult
During the summer of 1997 (around the same time Derek McMinn came up with a successful resurfacing hip device), I was 31 years old and working in the garden, when I seemed to strain something in my hip while carrying heavy containers of compost and mulch. Thereafter, I had pain whenever I moved my left hip, especially in the groin. I went to see an orthopedic surgeon and he prescribed physical therapy (PT). He told me to get good walking shoes, walk on well-groomed trails versus rocky ones, and other such advice.
Over the next several years, I saw two more orthopedic surgeons, who prescribed more PT, plus glucosamine with condroitin. One of them advised that I take up yoga. I was told “Don’t think of surgery until you have so much pain, you can’t sleep at night.” I tried surfing the Web for information on dysplasia, but felt very discouraged when all I could find was information for pet owners. It was all about dogs.
Degeneration and Living with Chronic Pain
I bore my pain the best I could. I tried Advil and prescribed painkillers. I found that I needed to take a lot of Advil or very strong medication to have any effect. I thought that if I continued to take painkillers, I would destroy my stomach and create other medical problems; so instead, I decided not to take anything. I tried to use the pain as an opportunity to go deeper within, though much of the time, I must admit, I was living in survival mode. I had osteoarthritis in my left hip and was wearing away all the cartilage in the joint, plus early stage spondylitis in the neck.
The process of chronic pain and degeneration is a very difficult one. The body distorts more and more as you try to adapt away from the pain. Everything becomes a big deal, your nerves are on edge, and even slight movements can make you wince. It is as if slowly a cocoon is spun around you, and you become more and more isolated and limited; your whole life becomes molded around coping with the degenerative disease and pain.
When it was getting really awful, I was introduced to Iyengar yoga, and found some relief and correction of structural problems. I was full of optimism the next time I went to the orthopedic surgeon. However, after reviewing my new x-ray, he said, “Now, you can start thinking about surgery.” He told me about several variations of total hip surgery.
Finding out about Resurfacing
Afterwards, a friend handed me a newspaper article on resurfacing and told me I should look into it. I got back to my orthopedic surgeon, and he said he didn’t like the procedure because it was still so new and experimental. I consulted a surgeon who did resurfacing, but found that he had only done about twenty of these surgeries.



My father did some research and sent me information from Dr. Amstutz’s website. I studied his website in detail. In following his links I found out about surfacehippy.info. I was so amazed by the website—it put me in touch with doctors, patients, and a tremendous amount of information on resurfacing.
Eagerly I sent emails to former patients; everyone was so helpful and kind. A man who had recently returned from surgery in India told me about the associated SurfaceHippy Yahoo! Health Group. Now I really was in touch with a lot of people and resources!
Resurfacing versus Total Hip Replacement
The shape and materials of the components are different between resurfacing and the total hip replacement, as well as the surgical techniques. In resurfacing, the head of the femur is shaved and capped by a cobalt and chromium, mushroom-looking device, and another metal piece is implanted in the acetabulum. So, it is metal on metal.
The head and neck of the femur are preserved, and depending on which approach the surgeon takes, he can conserve more, or fewer, of your muscles when he cuts you open. This can make a big difference in the speed and ease of your recovery, and being able to walk, run, etc. properly again.
Many athletes choose resurfacing because they can speedily return to their events, such as surfing, marathons, and triathlons, and sometimes even do better than they did before surgery. Des Tuck, a black belt in Karate has more power in his kick as a 50-year old man with two resurfaced hips, than he did as a young man in his twenties. Moreover, he was awarded his sixth-degree in 2007, after having both hips resurfaced; one in 2001 and the other in 2003.
A fellow patient (name removed), a professional athlete, got a BHR for one of his hips in December of 2005. At 11 months post-op, he placed 11th overall in the Ultraman World Championships. (name removed) posted a response on a blog called “Endless Cycle” July 30, 2007, saying that since his surgery, he had completed three Ironman triathlons, two ultra-marathons, and a marathon, plus the competition mentioned above. Wow!
With a traditional total hip replacement, the ideal patient is someone who is 75 years old and mostly sedentary. The surgeon saws off the head of the femur and pounds a long, metal stem into the thigh bone. Less care is taken in conserving muscles and accounting for possible leg length discrepancies. I’ve seen a few people, who after their THRs are never again able to walk properly and always require a cane. However, as in everything else in life, there is a wide range in the quality of work done by various surgeons, and in degree of difficulty of each case. What one does during recovery is also very important.
The traditional THR is more prone to dislocation than resurfacing, and younger patients tend to wear out the plastic piece in 10 to 20 years. Metal on metal doesn’t seem to be used much (that’s a heck of a lot of metal to have in your body); ceramic on ceramic could last a whole lifetime, unless you fall and shatter it—then it is a big mess. If your THR wears out, each successive surgery is more complicated, because there is less and less bone to work with. Should a resurfacing need revision, it can be converted to a THR.
Basically, if you are young and want to return to an active lifestyle, resurfacing seems to be the best way to go. However, with resurfacing, instead of the THR motto of “Wait until you can no longer bare it,” you are told, “Don’t wait too long, or else you’ll miss your chance.” The bone has to be in good enough condition to be resurfaced (not too soft or crumbly). Also, your femoral neck remains intact, so in the future, you still are at risk of breaking your hip. There has been some question about the effect of metal ions in the body. Super athletes, such as fellow patient triathlete (name removed), are allowing themselves to be subjected to intensive study, and so far, no ill effects are to be found.
However, there are a few logistical problems related to resurfacing. First of all, the US pioneered resurfacing in the 1970’s, but due to failures, lawsuits, etc. has fallen behind in the field. Some of the most experienced surgeons now are in Europe and India, so you may need to get your passport ready. Only in 2006 did the FDA approve the Birmingham Hip Resurfacing (BHR) device. Before that, the few US surgeons who did resurfacing used other devices in clinical trials or in an off-label way to work around the FDA regulations. Many patients still have to go to battle with their insurance companies, who until recently viewed this technique as too experimental to cover; but I have heard that patients are more and more successful in this area now.
The other problem is that resurfacing requires greater surgeon skill than does the THR. In a SurfaceHippy poll, most Hippys said they want a surgeon who has done at least 100 resurfacings. Perhaps this is too low; I’ve heard that a surgeon has said there is a huge learning curve in the first 1,000 surgeries. My understanding is that when complications arise after surgery, it is almost always due to surgeon error and faulty techniques. For instance, there is a lively debate right now whether a surgeon should use small incisions. Please see The Wall Street Journal article of Tuesday, Oct 14, 2008, “New Doubts about Popular Joint Surgery”.
So, if one is able to afford surgery, whether in one’s own country or abroad, and qualifies as a good candidate for resurfacing, and can find a surgeon who is experienced and has a good track record, then the question is, how long might it last? And the answer is, nobody knows; but all things being equal, it looks a lot better for resurfacing than THR.
Dr. Derek McMinn, from Birmingham, United Kingdom, originated the first successful resurfacing device, the BHR in 1997. According to The McMinn Centre website, out of his nearly 2,700 BHRs, there has been a 1.2% failure rate by nearly 9 years. Specifically for those 55 years or younger, the failure rate is 0.2% at 11 years. Whereas, the failure rate for the traditional total hip replacement for this same age group is 19% at 10 years and 67% at 16 years, according to the Swedish Hip Arthroplasty Register.
Getting Feedback from Doctors
So, welcome to globalization! Internet connects you with the best surgeons in the world. All you have to do is get a digital version of your x-ray and you are in email contact with the doctor of your choice, as long as (s)he is computer savvy. I asked Hippys who the top surgeons were and then sent my x-ray to them for a free consultation. Here are the results:
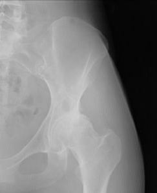
Dr Bose said, "You have end stage arthritis in your hip with early protrusio. However, your bone stock is very good. I am glad to report that you would be an excellent candidate for hip resurfacing surgery. However you must not delay for too long because of the protrusion (inward migration of the socket)."
And later in response to my question about whether dysplasia showed in the x-ray, Dr. Bose said, “You do have moderate dysplasia and there is no doubt that this is the reason as to why you have developed arthritis at this relatively young age. All young osteoarthritics will have some underlying problem like dysplasia, slipped epiphysis or femora-acetabular impingement. Your symptom level seems to be very high and certainly surgery would be justified in your case.”
Dr. De Smet said, "You are a candidate for resurfacing. You are not an easy case because you have some mismatch between size of femoral neck, femoral head and pelvis diameter for cup implant. Difficult but INDICATION for resurfacing! You start also to make destruction of the bone in the pelvis with a cyst, so maybe time to have something done."
Dr. Gross’ assistant wrote, “Based on the x-rays you sent, you are a candidate for hip resurfacing.”
Dr. McMinn’s assistant wrote, “Your x-ray pelvis shows DDH left hip and your DEXA scan showing bone density on this hip shows osteopenia. . . . It is possible you may need a dysplasia cup with supplementary screws and bone grafting.”
Dr. Treacy didn’t have a personal website and it was difficult to track him down. If a surgeon doesn’t have his own website, he practically doesn’t exist. I was finally able to connect with his assistant, but due to poor computer equipment and/or programs on their side, she couldn’t read the x-ray I emailed. I tried again and still the same result. She requested that I send it by mail, which is their normal procedure. I only had a digital copy of my x-ray, so I stopped correspondence at this point.
Dr. Amstutz’s office took about a week to answer my email and they wanted to charge a fee to look at the x-ray. To have a consultation, ideally I would have flown down to Los Angeles. However, instead of doing so, I decided to do more research first. I didn’t want unnecessary expense and hassle, if I could avoid it. When your hip really hurts, even a trip to the bathroom can be a hassle.
Correspondence with the First Surface Hippy
After hearing from the surgeons, I read personal accounts of patients’ surgery experiences. It was all very interesting, but I wondered how a person does later down the road. And the road wasn’t very long, because the surgery has only been done successfully for the last 11 years. I got on the SurfaceHippy Yahoo! Health Group and looked up the first entry written by David Wall, the first official Hippy, back in March 2000, and sent him an email:
Sent: Monday, April 30, 2007 9:01 PM
Subject: How is your hip 7 years later?
Hi David,
I went to the first entry of this group---can I ask you how your hip is doing now 7 years later?
Dr. Bose, DeSmet and a few others have told me that I am a candidate for Resurfacing. I don't have surgery scheduled yet, but I hope for around July.
All the Best,
Ann
Sent: Sunday, May 6, 2007 6:13 AM
Subject: How is your hip 7 years later?
Ann,
7 years and going strong. I can honestly say that I do not feel the least bit limited by my hip. I am very active, mostly with the activities of my three kids (ages 13, 11 and 8). I coach baseball, go hiking with the Boy Scouts, including backpacking trips; I occasionally play a little tennis and I can do all the biking and walking that I care to do. The surface replacement gave me my life back and I have absolutely no regrets.
You will know when it's time for surgery. For me it got so bad I could not think about anything else. Now I hardly ever think about it. I suggest you try to strengthen the muscles in your upper leg before your surgery.
Good luck to you,
David
I was very happy to hear from David and that he was doing so well. By the way, I did take his advice. I exercised as much as I could in preparation for surgery, which included working out at the gym, swimming, and yoga.
Choosing a Surgeon
I was convinced that resurfacing was the right decision for me. For one thing, it gave me at least the possibility of a surgery that might last the rest of my life, whereas a THR was almost guaranteed to wear out within a decade or two. And, I could almost positively return to a higher level of activity and range of motion than with a THR. Now the next thing was to pick a surgeon.
I contacted Hippys for advice. Since my hip was seen as a complicated case (dysplasia, a large cyst, and the start of protusio), I was told that I should only consider going to one of the very best surgeons. One person suggested that I choose between Drs. Bose, DeSmet, and McMinn, and not consider any others. There were many factors to consider, and I was very happy that Vicky Marlow had created spreadsheets on cost comparison and doctor statistics, for people like me to consult.
If I had gone by myself, I probably would have chosen Dr. Bose in India, mainly on the basis of his being an excellent surgeon and the lower cost. However, my parents said they wanted to come with me, and none of us really wanted to deal with the intense, Hades-like heat of Chennai/Madras in July, plus all the other possibilities that come with visiting the tropics. The degeneration of my hip sped up in the last months and I didn’t want to wait any longer than absolutely necessary to book my surgery.
In terms of American doctors, at least at the time I was looking, it seemed that my best choices were among Drs. Amstutz, Schmalzried, and Gross. I live in California, so it would have been much easier to have had done it in Los Angeles with Dr. Amstutz. However, I didn’t have health insurance and had no real incentive to only consider US doctors. He was costly, and the other American orthopedics were even more expensive.
It seemed, considering the exorbitant cost of surgery in America, that one would do better both in price and expertise by going abroad. However, now that more and more American surgeons are becoming experienced, and as insurance companies are providing payment for this surgery, it might no longer be the case. But for me, then it was a choice between Drs. DeSmet and McMinn.
Given that they are both highly qualified surgeons with excellent statistics, I think two main factors really decided it for me to have surgery with Dr. Koen DeSmet. The first thing is that he is a great guy and you are in direct contact with him (as opposed to going through an assistant). He personally answers his email, and almost always responds within 24 hours. This relationship remains intact pre-op, during your stay in Belgium, and post-op when you have questions and for your follow-up x-rays. Also, he is young and hopefully will continue to practice for many, many years to come.
The second factor is that he provides a comprehensive package of surgery and recovery run by a most competent and kind staff, who all speak fluent English. Once you book your surgery date, you are in contact with a coordinator, who helps you with all the essential details from arranging your pickup at the airport, to your pre-op appointments, surgery at the hospital, and optional stay at the Villa, an excellent family-style recovery clinic catering to pre and post-op hip surgery patients. Also, a few Hippys told me they thought that the treatment post-op was very important, and that the Hippys who had PT with Dr. DeSmet, especially those who stayed at the Villa, had a faster and better recovery than others.
Going Abroad for Surgery
So, of course you have to have a current passport. I booked a flight with British Air Premium Economy for its extra leg room and requested wheelchair assistance (both going and return), saying I could not walk. Walking through the airports would have been out of the question. One very nice benefit of the wheelchair assistance is that you and your companion(s) get whisked right through passport and security checks.
Before you reserve your seat, make sure you first check http://www.seatguru.com/. This website has diagrams of every type of plane for all the major airlines and tells you where the good and bad seats are on. I booked a bulkhead seat for extra leg-room and so that I could get in and out of my seat with relative ease.
We went to Belgium a few days early to get over jetlag and to do a little sightseeing. During the last few months before surgery, the degeneration of my hip really sped up. Each step was incredibly painful and I could barely walk, even with the assistance of a cane.
Still, Gent and Brugge are so charming that one wants to at least take a peek around—boat tours are perfect for this, but avoid Brugge on the weekend because of the huge crowds. The Gent Altarpiece, or Adoration of the Mystic Lamb, really is a must see. Belgium gets a lot of rain, though there were only a few scattered, light showers when I was there, so a person needs to pack rain gear.
Here’s a list of things I found to be very helpful to bring:
- Grabber (for picking things up, and in a pinch, for getting your TEDs on)
- Liquid soap to clean TEDs(anti-embolism stockings) every night
- CD player, etc. (take good music and you might not need sleeping pills)
- Slippery nightgown (or pjs for the gents)—makes getting in and out of bed much easier
- Towel and washcloth for your hospital stay
- Handy wipes for when you have to use a bed pan at the hospital
- Books on tape/CD
- Prunes or herbal laxative, just in case
- Laptop (there’s Internet service at the Villa)
- Rain jacket, hat, and umbrella
- Bathing suit for pool therapy at the Villa
- Rash guard/long-sleeve swim top to keep you warm in the pool
- Comfortable shoes that are easy to get on and off
Preparing for Surgery with Dr. Koen DeSmet at the Villa
Both the Villa and the Jan Palfijn Hospital are in different suburbs outside of the historic Gent town center. I checked in at the Villa in the morning the day before surgery. You have your pre-surgery consultation with Dr. Koen DeSmet, as well as pre-op tests, right there at the Villa. And don’t worry—when you meet with Koen, he’ll draw a big black “X” with permanent marker on the leg that needs surgery. Perhaps the only thing you really need to worry about, is to make sure you don’t get crunched by the elevator door at the Villa, other than that, you are all set.
Although you could pick a different lodging if you wished, the Villa is an ideal, healing clinic (do note, however, that staying at the Villa is an additional charge beyond the cost of surgery). Koen has you stay a minimal amount of time at the Jan Palfijn (two nights) and then you’re back to the Villa, in a luxurious, relaxed, and informal setting away from the hazards of hospital stays. Not enough praise can be said about Koen and his staff—they are all kind, friendly, and top-notch.
Breakfast and lunch (the main meal of the day) are served family-style in the small restaurant upstairs. You sit at large, round tables with other hip surgery patients, who are at varying stages of pre-op and recovery, and their guests. When I was there, patients were from the USA, Belgium, Poland, and the Netherlands. It was fascinating just getting to know the other people and sharing the experience with them. For dinner, you are basically on your own, but if you want to eat at the Villa, you fill out a menu at lunch time and say whether you want to eat in your room or in the dining room; otherwise most people prefer to eat out at nearby local restaurants.
The rooms are quite spacious, attractive, comfortable, and designed with your needs in mind. Each room is equipped with an electronic hospital bed, so you can control your leg and head height, which is very important after surgery, because for a while you’ll only be able to lie on your back, and you have restrictions you have to observe. Bathrooms are equipped with raised toilet seats and safety handles on the shower and walls. You can pay extra for Internet access, either using your own laptop or one of theirs.
In your room, you will be given: a basket full of medicine; crutches; and you will be fitted with two pairs of TEDs. Make sure you book a taxi to take you to the Jan Palfijn Hospital (unless one of the Villa staff can drive you). When you pack a small bag for your stay at the Jan Palfijn, make sure you bring with you to the hospital both pairs of TEDs, the necessary medicine, and your crutches. You’ll mostly wear hospital gowns, but you will need clothes for your PT sessions walking in the hall, and for your return to the Villa. In addition, bring a towel and washcloth, toiletries, and anything else you may want (CD player, etc.)—I didn’t have any problem with theft, but make sure you don’t bring anything too valuable to the hospital.
The night before your surgery, you’ll be told that after 10pm or midnight, you must absolutely refrain from any food or drink before surgery. This includes no drinking of water when you brush your teeth. It is of the utmost importance that you maintain a strict fast from when you go to bed that night through the time of surgery (this is basically so you don’t get nausea or vomit and choke when under anesthesia).
Surgery at the Jan Palfijn
The morning of surgery, you go to the Jan Palfijn Hospital about 10-15 minutes away. You check in and pay first thing. After you are shown to your room, you change into a hospital gown and take off all your jewelry. This is also your chance to organize your belongings: to put toiletries, etc. in the bathroom, the things you need to have right at your bedside, and then anything that needs to be locked up in a little closet.
A very important detail is that before they wheel you off, make sure you are wearing a TED on the not-to-be-operated leg, and carry the second TED with you, so they can put it on you at the end of the operation (forget about socks; you’ll be living in your TEDs for a long while). Before surgery, you’ll be hooked up to an IV and then the anesthesiologist asks you a few questions.
When you are finally in the operating theater, you’ll find the room to be quite cold; they do this to lessen the risk of infection. If you are worried about losing a lot of blood and having a blood transfusion, don’t worry because in Koen’s surgeries you only lose about a glass full of blood. Also, some doctors may take several hours to do this surgery, but Koen can do a straight-forward surgery in about 45 minutes. He told me afterwards that my surgery was a bit complicated, so it took all of 70 minutes.
I was amazed at how fast one gets knocked out. The anesthesiologist held a mask over me, said, “Goodnight” and that was it. The next thing I knew was that it was all over and I woke up in the recovery room. This was probably the most difficult time of the whole experience. I was a bit disoriented, shivering with cold, had a lot of pain (initially more in my sacrum than my hip), stuck in one position, and had an incredible dry mouth.
The nurses were very attentive and immediately helped to alleviate my discomfort. One thing that was especially helpful was that I was given a little container of pressurized water, so I could spray mist into my mouth, which I continued to do until the evening, when I was finally allowed to drink water and eat a little yogurt. When you are able, you’ll want to ask a hospital attendant for a copy of the next day’s menu, so you can request the foods that you prefer.
I stayed for two nights in the hospital. Originally, I had requested a private room, but when I checked in, I was told there wasn’t one available. So, I stayed in a room with two older Belgian ladies, and it worked out just fine. Both of them already had their surgeries, one earlier than the other. One of the ladies could speak a little English, and the other none at all, and unfortunately I didn’t speak any Flemish or French. Still, it is amazing how well one can communicate without using many words.
The ladies were very sweet and helpful, and had a good sense of humor. It’s the little things that one appreciates so much when one is basically helpless. The first day after surgery, I couldn’t even pour water for myself, and the ladies were so quick to help. They had been helped by others previously, and now they were glad to be able to help me.
It is hard when you are just stuck there lying on your back, especially when night comes and you don’t feel sleepy. I was so glad I brought music with me. I found that by listening to soothing music, I never had to use sleeping pills. In terms of pain, after the recovery room, I didn’t use the morphine pump, but I did take a few fizzy pain pills throughout the day and before going to sleep. I was able to sleep most of the night, except for waking up to call for a bedpan (not my favorite thing).
They get you walking the very next morning. For starters, you learn how to get in and out of bed using crutches, and how to use a walker. It was difficult at first, but when I was finally able to do this by myself, I was so happy to have the new-found freedom. It meant goodbye, bedpan! My roommates could see how happy I was getting around by myself. One of the ladies had a good time making fun of the loud “clok, clok” noise I made with the walker. One time, she even poked her head out of the bathroom door to imitate me, making all of us double over with laughter.
The second morning, I was further instructed in how to use the crutches, how to walk normally, as well as up and down stairs. I had a few exercises to do while in bed, however, Koen didn’t want me to do leg lifts just yet, I think because my bone was so soft, and I didn’t have adequate muscles to do it properly.
Koen stopped by several times to see me while I was in the hospital. The first time he let me know that the surgery had been a little difficult and that my bone was quite soft. I later asked him, if I had gone to a different surgeon would I have awakened with a THR, instead of a resurfaced hip. He nodded his head in agreement.
Back at the Villa
After my morning PT session, all I had to do was change clothes, pack up, say goodbye to my roommates, check out, and off to the Villa I went. It all seemed so fast. I was a little worried about tackling stairs so soon—the entrance to the Villa is up one flight—but I was relieved to learn about the elevator around the back of the building, which I used for my return.
I was one of the last patients that Koen operated on before he took his three-week vacation at the end of July. There was another patient from the USA, who had surgery the day after mine—the 4th of July—and then, following her were just two more patients from Holland. As the days progressed, fewer and fewer of us remained, as the older patients packed up and returned to the own countries and homes.
My parents had told me that they wanted to accompany me on this trip, so we all travelled together and they stayed in a room at the Villa, as well. We did get some strange looks in airports by people who were confused to see a youngish woman being pushed in a wheelchair, while her snowy-haired parents walked behind.
Not only are my parents adventurous, but they also are not the type to just hang out, so while I focused on my PT and resting, they took day-trips to Brussels and Antwerp. I also had a nice visit with my brother, who happened to be in Belgium on business and came to see me, plus several visits with new friends who live just outside of Gent. Later, I did venture out in the neighborhood and downtown Gent to walk in the parks and enjoy meals out. I also spent a little time on email and listening to a book on tape.
However, I was the exact opposite of my fellow American patient, who used her post-op stay as an opportunity to entertain friends and visit numerous cities and museums (there’s no pool therapy on the weekend, so it is a good time to sightsee, if you are so inclined). One other point in support of going to the best surgeon you can, I was sitting at the table one time when Koen talked to this patient and let her know that during surgery, not only did he resurface the hip, but he also fixed a long-term structural problem she had in her pelvis. I doubt many other surgeons would have taken the time for this or would have the expertise.
The staff is simply excellent and there is always someone around in case you need help with something, like putting on your TEDs. You have PT two times a day. You start your day by going to breakfast at a fixed time. Sometime afterwards, a physical therapist comes to your room and teaches you exercises to do in your room and then coaches you in walking halls, staircases, and around the outside of the building. Part of it is proper technique with the crutches, but perhaps more importantly, is you are re-taught how to walk with a normal gait.
Sometime during the day, the nurse visits you and gives you a blood-thinner shot in the belly. You are taught how to give yourself the shot, so you can continue it when traveling and recovering at home. The nurse cleans the incision and dresses it in a waterproof bandage, so you can shower and do pool PT. In the afternoon, you do pool exercises along with other patients. Along with all the pain-killers, you are given an ice bag—there’s an ice machine on the second floor—and it really helps a lot in managing the pain.
Koen is very accessible and very present, so much so you wonder how he does it all. He has an office in the Villa, and at different times he will stop in briefly to observe a pool session or say hello when you are at a meal. One time towards the end of my stay, I was the only one eating dinner upstairs in the dining room, and was being served by Koen’s daughter. She was only doing the job for a few days before they went on vacation. I asked for a cup of tea at the end of my meal, but apparently she didn’t know how to work the hot water machine and there wasn’t another staff member who could help her in the kitchen. I was embarrassed to find that I had interrupted the work of this busy surgeon by my request, when a few minutes later Koen personally delivered a cup of steaming, hot water to my table. Not only is Koen an incredibly talented and successful orthopedic surgeon, he is also very accomplished at simply being human.
At the end of my two-week stay, my stitches were taken out and I had post-op x-rays. This was followed by a final consultation with the doctor. I asked him if what he corrected in surgery had to do with childhood dysplasia. He told me that what he corrected was actually a different condition, a slipped epiphysis (a slipped growth plate of the femoral head). He said that when one is in his early teens, the femur grows in layers and doesn’t fuse solid until you are about 14 years old. So, when I was in my early teens, a portion of the femoral head slipped down and later resulted in OA and loss of cartilage in the joint.



The Return Home and Recovery
You are sent home with medication, including blood-thinner shots with higher doses to take before, during, and after travel. To make travel easy, we stayed at a hotel right at the Brussels airport the night before our flight. I carried all my medicine and surgery information in my carryon. The flight home went much easier than I had expected. I drank a lot of liquids, which kept me busy walking up and down the aisle between my seat and the lavatory. I did exercises near the galley, and visited a little with some very kind and sympathetic stewardesses.
After I got home, when I needed a change of bandage, a friend who is a nurse practitioner dressed it for me, first applying Betadine, followed by a new waterproof bandage. She said the incision was beautiful, that it was cosmetic surgery quality. She instructed me to buy my own Betadine and Tegaderm (waterproof bandage) at a local pharmacy. I continued to do the PT routines I learned in Belgium, both on land and in a local pool, plus walking, and gradually adding swimming, some light exercise at the gym, and restorative yoga.
For the first six weeks you have to be very careful to follow all the restrictions, such as not bending more than 90 degrees, not crossing your legs, not going past the midline, etc. It is good to continue the restrictions past the advised time, as well as only gradually to move beyond them. Probably the first three to four months are the hardest, and then by one year you are close to your normal activity level. Each recovery is unique, and everyone always tells you to listen to your body. Initially, I was told by Koen to be very careful with the knee towards chest action, but then later he said I didn’t have any restrictions, just to go gradually and don’t do anything that causes pain. It all takes a lot of patience and persistence. Actually, there is one restriction: No sky diving!
One thing that may be difficult in having gone abroad for surgery is that you don’t have your surgeon to consult locally. Before I left Belgium, I asked Koen if he would refer me to anyone in my area. He didn’t like that idea, and restated how we are to send him a follow-up x-ray after the first year, and continue to send them, but less frequently later. However, my fellow patient, who is from NY, was given the go-ahead to consult Dr. Su, who had trained with Dr. DeSmet. At one point after I had returned home, I didn’t understand why part of the incision looked more whitish than other areas. I emailed Koen a photo of it, and he reassured me that it was healing properly and that there wasn’t a problem.
After the initial six weeks, I consulted a local physical therapist. He helped me somewhat, but my Iyengar yoga instructor has been extremely helpful—she’s helping me to gradually restructure my whole body and gain back strength and range of motion. She has over 25 years of teaching and a lot of experience working with special needs. The next time I look for a physical therapist, I will want him or her to be well-recommended by other Hippys, if possible, or perhaps have a lot of clients that are professional dancers and/or athletes.
A Year Later
I’m guessing that my recovery has been about medium compared to others, but my hip was degenerating for 10 years and I was in bad shape before surgery. The recovery is full of ups and downs, but with a steady and gradual overall progress, sometimes faster, sometimes slower. I find it very helpful to go to the annual/bi-annual local Hippy gatherings in Northern California that Vicky Marlow has been organizing to touch base with Hippys and to answer questions of prospective hip patients.
A little over a year later, I have now worked up to rigorous 10 to 15-mile hikes using trekking poles, plus swimming several days a week, and yoga. I think the trekking poles have really helped take my recovery to whole new level. Also, this winter I want to focus more on gym workouts and floor exercises. I’m still working on strength and range of motion. My back and neck are still stiff and a little weak. Stretching over a Styrofoam cylinder and also using an exercise ball have greatly helped my back, as well as have some exercises and yoga. This will take some time.
Before and just after the one-year mark, I fell two times on my left hip. They were light falls; one was a slow-motion job on the kitchen floor, and the other somewhat like it. When I sent my one-year x-rays to Koen, I mentioned this first fall. He reassured me that no damage had been done. After emailing him about the second fall, he wrote, “I have never seen a major problem with a resurfacing after a fall like that. Unless it would be a fall from a bike at 60km an hour. Of course you just should not fall! If there is a real problem because of the fall you will know, it is nothing to worry about if there is nothing!”
A large part of the recovery process now is about relaxing with things and returning to regular life. One thing you just have to accept is the fact that you’ll always set off the alarm at the airport. Now when I approach the metal detector, I show the security personnel a photocopy of my x-ray. But that is a small price to pay for getting a new hip, walking pain-free, and getting one’s life back. May all be so fortunate.
A special thanks goes to: all the Hippys; Dr. Koen DeSmet and his excellent staff; Vicky Marlow for providing those spreadsheets, organizing Hippy gatherings, and for all her outreach, kindness, and good advice; Patricia Walter for her website that first helped to inform me about resurfacing; to my parents for supporting me the whole way through; and to Amma, my spiritual teacher, for her Love and guidance.
Ann
LBHR DeSmet
July 3, 2007
